
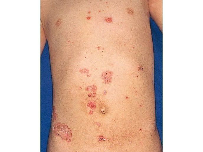
とびひ

小児皮膚科 目黒駅前アキクリニック

みずいぼ 千葉県船橋市北習志野のふじもと皮膚科クリニック


とびひから子供を救え 薬と治療法 プールなど生活で気をつけること3つ 薬わかるー指導せんー

赤ちゃんの皮膚の病気 とびひ 伝染性膿痂疹の症状とケア 医師監修 たまひよ
1
3

あせもや虫刺されが悪化 とびひ の基礎知識と対処方法 ココカラクラブ ドラッグストアのココカラファイン

Mrsa メチシリン耐性黄色ブドウ球菌 による伝染性膿痂疹 飛び火 とびひ 呉市 皮膚科 橋本クリニック
診療案内 皮膚の疾患 いなばクリニック耳鼻咽喉科 皮膚科 アレルギー科

子供のじゅくじゅくが治らない Drcchan Note
Tags:
Archive